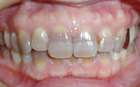
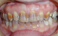
ラミネートベニアの治療例

20代の女性の患者様です。「もともと自分の歯の色がイヤで、白くしたい」という悩みをかかえて来院されました。
当初ホワイトニングを希望されていましたが、ホワイトニングでは悩みを解決できない事(テトラサイクリン歯*のため)を説明させていただきました。その結果、ラミネートベニア法で治療をおこないました。
(*)歯がまだ生えていない時期やお母さんのお腹にいるときににテトラサイクリンなどの抗生物質を服用すると歯がグレーや暗紫色のシマシマになってしまうことがあります。
このシマシマに着色された歯を「テトラサイクリン歯」といいます。
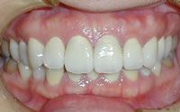
表面を一層削って型取りをして、貼付けるセラミックを作ります。

上下で13本の治療でした。ご自分の白くなった歯をご覧になって、とても喜んで満足されていました。
「この治療を思い切ってやって本当によかった!」とニッコリした笑顔がとても明るくて印象的でした。

