当院では、単に虫歯を治すだけではなく総合的にお口の問題点を診させて頂き「歯周治療」「根管治療」「補綴」「カリエス治療」「矯正治療」を計画的に進めて行きます。当然、患者様に十分説明させて頂き理解して頂いた上で相談の上治療をしております。
コンポレットレジン(CR)とは、前歯や奥歯の小さい虫歯治療などに使われる白いプラスチックの詰め物のことです。以下の写真はコンポジットレジンを充填している治療です。()の数字は写真の番号です。

(1)の黄色の丸印が虫歯です。表面麻酔(3)の後、麻酔(4)をします。そして削りました(4)。

歯と同じ色の樹脂を詰めて(5)、光をあてて固めます(6)。(7)が樹脂を詰めた直後の状態です。

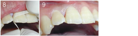
はみ出たところを削って形を整え(8)、磨きます。そしてCR充填が終了しました(9)。
▲ このページのトップへ戻る

SRPとは、スケーリング・ルートプレーニングの略称です。スケーラーやキュレットと呼ばれる細長い専門の器具で、歯ぐきの中に隠れている根っこについた歯垢や歯石をとります。このとき、道具を歯ぐきの中に入れて歯石をとるため、麻酔をしてからおこないます(1)。
歯の表面を磨いてツルツルにすることによって、汚れがつきにくくなります(2)。
インレーとは、奥歯の虫歯治療などで削った部分を埋める詰め物のことです。保険では金銀パラジウム合金と呼ばれる金属を使うことが多いです。他にも、天然歯と同じように見える白色のプラスチックや陶材など、保険治療、自費治療を含めて様々な種類があります。()の数字は写真の番号です。

少し大きな虫歯は削って型取りをします(1)。はめこむ金属(ln)を技工士のかたに作ってもらい(2)、セメントでくっつけます(3)。約2回の治療で終わります。
▲ このページのトップへ戻る
エンド治療とは、Endodontic treatment(歯内療法)の略で、 歯髄(歯の中の神経や血管などの組織)治療のことをいいます。下の写真は根管治療(根っこ治療)について説明しています。()の数字は写真の番号です。

別の歯医者で数年前に治療を受けた歯が腫れた患者様です。レントゲンで調べてみると歯の根っこの先に膿みがたまっていました(1)。
歯の根っこの長さを測って、専用の道具でお掃除します(2)。
掃除が終わったら消毒を繰り返し、きれいになった時点で防腐剤をうめます。(3)は治療終了後2年経過したものです。きれいになって骨ができています。
▲ このページのトップへ戻る
前装冠とは、目に見える部分を歯の色と似通った白色の材質(アクリル樹脂や陶材)でつくるかぶせものです。
()の数字は写真の番号です。

前歯の治療が終わった段階(1)で、虫歯の部分をとって(2)、土台をつくります(3)。そして形を整えて(4)、型をとります(5,6)。仮の歯をかぶせ(7)、その後最終の前装冠をかぶせます(8,9)。
▲ このページのトップへ戻る

