インプラント治療とは、失ってしまった自分の歯の替わりに、人工の歯根を顎の骨にうめこみ、その上に人工の歯を作成して噛み合わせを回復する治療法です。
歯を失うこと
わたしたちは歳を重ねるにつれ、虫歯や歯肉の病気、あるいは事故などで歯を失うトラブルに見舞われることがあります。奥歯を数本失うより、前歯を1本失うほうが心理的につらいかもしれません。たった1本の歯を失うことで、歯の機能と審美性が崩れ、食事の時や外見上で不都合を感じるようになってしまいます。
歯を失うということは歯冠だけでなく咬む力を支える歯根までもを失ってしまっているのです。インプラント治療は、「失った歯をもとに戻す(機能性)」「失った歯を目立たない方法で修復する(審美性)」を実現します。
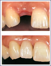
- ■ 歯を1本だけ失った場合
"失われた1本の歯根の代用品"としてインプラントを1本だけ使って失った歯の部分を修復する方法です。
インプラント治療のなかでもっとも洗練された方法であり、審美的にも満足のいく結果が得られます。顎骨の"萎縮"の心配もなく、本来の骨重を維持できます。
ブリッジを入れる時のように健康な隣の歯を削る必要ありません。- ■ 数本の歯を失った場合
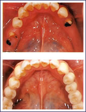
この場合もインプラントが理想的な解決法となります。数本のインプラントを歯のない部分に入れ、これを土台としてヘッド部にブリッジをかぶせます。- ■ 歯のない部分が広い場合
臼歯が失われた場合、従来は取り外し式の部分入れ歯で咬合機能を回復させてきました。
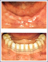
これに対し、インプラントなら天然歯と同様の感覚の"固定式"人工歯を入れることができます。- ■ 歯が全くない場合
下顎の歯が1本もない場合の修復には、インプラントがよく利用されます。
インプラントのヘッド部をバー状の維持装置で連結し、その上に取り外し式の入れ歯をしっかりと固定することができます。
- 1. 毎日の念入りな歯磨き
- 最も重要なホームケアが歯磨きです。「食べたらすぐみがく」を心がけ、指導された正しいブラッシングをおこなってください。
- 2. 歯医者での定期検診
- 当たり前のことですが、インプラントには神経がありません。ですから感染が起こっても自覚がありません。グラグラ動いてきたり、膿みが出て、はじめて気がつくのですが、こうなってからでは手遅れです。
治療終了後は、歯科医師の指示に従って必ず定期検診を受けてください。
歯科用CTは3D診断を可能にします。平面の画像では見えなかった箇所が見えるようになり、インプラント, 歯周病治療, 根管治療などにとても役立ちます。

歯科用CT [拡大]

埋伏の画像 [拡大]


インプラント 