審美補綴の治療例

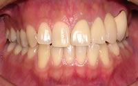
左上3番の埋伏を以前に保険治療されていました。審美修復を希望されての来院です。歯槽堤の増大手術など説明したが、治療期間を短くしたい為補綴処置のみで審美回復することになりました。

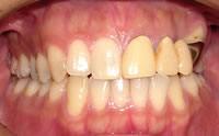
プロビジョナルに置き換え、最終のイメージをつかんで頂きました。


-
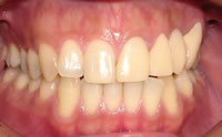
プロビジョナルで最終イメージを満足して頂いた上で、最終補綴に置き換えました。治療期間は約一ヶ月です。

左上3番の埋伏を以前に保険治療されていました。審美修復を希望されての来院です。歯槽堤の増大手術など説明したが、治療期間を短くしたい為補綴処置のみで審美回復することになりました。
プロビジョナルに置き換え、最終のイメージをつかんで頂きました。
プロビジョナルで最終イメージを満足して頂いた上で、最終補綴に置き換えました。治療期間は約一ヶ月です。
