きど歯科からのお知らせ

診療例の紹介

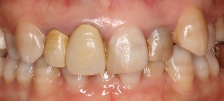
オールセラミッククラウンの治療例

治療前

治療前前歯を奇麗にしたい、でも八重歯は残したい

(拡大写真)

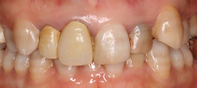
治療中

治療中オールセラミッククラウンにて審美修復をしました

(拡大写真)

 

診療例のページへ戻る ▲