きど歯科からのお知らせ

診療例の紹介

インプラントの治療例-3-

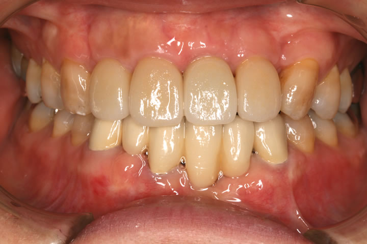
治療前
初診30代女性の初診時の写真です。前の歯をきれいにしたいと来院されました。
治療後
  • 治療後
  • 治療後のインプラント拡大写真
  • インプラントパノラマ写真

治療終了時の写真です。左上の前歯はインプラントになりました。
その他の前歯はラミネートべニアという治療方法できれいにしました。下の歯も陶器の歯でかぶせています。

 

 

上の前歯の拡大写真です。

 

 

 

 

 

治療後のレントゲン写真です。