きど歯科からのお知らせ

診療例の紹介

歯周外科手術の治療例 -1-

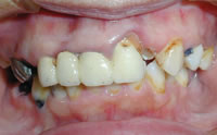
治療前
初診全額において歯周外科手術等を行い治療した症例です。初診です。
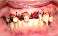
治療中
術中
歯周外科手術後の状態です。
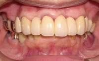
治療後
術後

術後です。

診療例のページへ戻る ▲