home
医院紹介
診療コンセプト
診療例
歯科治療とは?
お知らせ
お問い合わせ
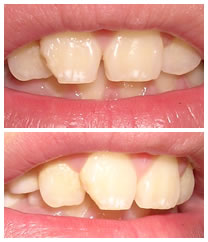
歯牙破折修復の治療例 -1-
患者は学校でこけて前歯をぶつけた子供です。
あらかじめ模型上で修復後のワックスアップをしてステントを作成し、かけたところに圧接するようにレジン(歯と同じ色の樹脂の用なもの)を盛り上げます。きれいに整えれば、ほとんどわからなくなります。成長期の子供などに適用することが多いです。
診療例のページへ戻る ▲