きど歯科からのお知らせ

診療例の紹介

歯牙移植の治療例 -1-

治療前
治療前のパノラマX線写真パノラマX線写真
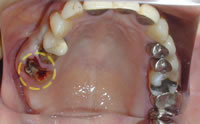
治療前
治療前の口腔内口腔内写真
 
治療中
抜歯2週間後の状態抜歯2週間後
治療中
被移植歯左上8番(親知らず)被移植歯
治療中
抜去歯牙抜去歯牙
治療中
歯を移植移植
治療中
歯ぐきを縫合をし歯を固定する縫合、固定
治療中
移植2ヶ月後の状態移植2ヶ月後
治療中
型取り土台作りをし、型取り
 
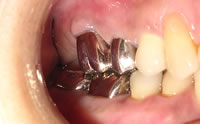
治療後
治療後治療後の状態
治療後
治療後治療後の状態
 
治療後
治療後のパノラマX線写真パノラマX線写真

 

診療例のページへ戻る ▲